Comprendre son devis dentaire
🦷 Santé dentaire Entre les codes nomenclature, les paniers de soins et les colonnes de […] Lire la suite
Parce qu’une belle santé commence par un beau sourire. MUTA SANTÉ vous accompagne avec des conseils concrets pour prendre soin de vos dents au quotidien.
On y pense peu mais pourtant la santé bucco-dentaire est l’un des piliers de votre santé globale. Une bouche en bonne santé, c’est la capacité de bien manger, de parler clairement, et surtout de sourire en toute confiance ! Mais la bouche ne s’arrête pas là, c’est un vrai rempart contre de nombreuses maladies silencieuses.
Les infections buccales ne se cantonnent pas à la bouche. Les bactéries peuvent en effet passer dans votre sang et provoquer des inflammations. À terme cela fragilise les vaisseaux sanguins avec des conséquences sur le cœur et la digestion. La prévention dentaire n’est donc pas un luxe : c’est une nécessité.

Le bon réflexe à retenir : consulter régulièrement votre dentiste pour détecter les problèmes avant qu’ils ne deviennent douloureux et coûteux. Une visite annuelle suffit souvent à éviter des soins bien plus lourds.
Trois affections concentrent la majorité des consultations dentaires en France. Elles sont fréquentes, souvent indolores au début et pourtant bien réelles ! Mieux les connaître, c’est déjà mieux les éviter.
Destruction progressive de l’émail causée par les bactéries en interaction avec les sucres alimentaires. Silencieuse au départ, douloureuse ensuite.
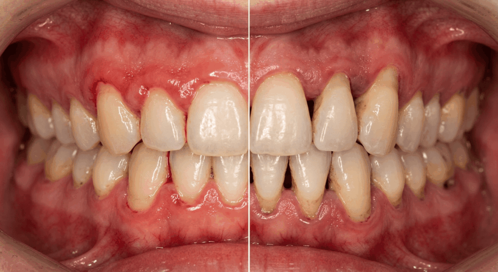
Inflammation des gencives se manifestant par des rougeurs et des saignements au brossage. Réversible si elle est prise en charge rapidement.
Forme avancée de la gingivite : l’infection touche les tissus de soutien et peut provoquer un déchaussement des dents. À ne surtout pas négliger!
Une gencive qui saigne au brossage, ce n’est pas normal. Ce n’est pas douloureux au début, mais c’est le premier signal d’alarme de la gingivite. Pris tôt, le problème se résout facilement. Ignoré, il peut évoluer vers une parodontite et conduire à la perte de dents.


Certains comportements fragilisent vos dents sans s’en rendre vraiment compte. Le tabac, par exemple, est un ennemi discret : il aggrave les inflammations des gencives, ralentit la cicatrisation et augmente considérablement le risque de parodontite !
Le sucre agit différemment, c’est la fréquence d’exposition qui pose problème. Le grignotage maintient une acidité constante dans la bouche ce qui érode inévitablement l’émail des dents.
Certains profils sont également plus vulnérables : les personnes diabétiques, dont la cicatrisation est altérée, les personnes âgées, les femmes enceintes dont les hormones modifient les gencives, et les personnes immunodéprimées.
Sans oublier le stress, qui favorise le bruxisme (grincement des dents), source d’usure prématurée.
Les boissons acides, comme les sodas et les jus de fruits, participent elles aussi à l’érosion de l’émail, même sans sucre ajouté.
Un simple verre d’eau après en atténue les effets !
La bonne nouvelle, c’est que la majorité des problèmes dentaires sont évitables. Quelques gestes simples, pratiqués avec régularité, font toute la différence. Voici les fondamentaux à adopter et à garder en tête tout au long de votre vie.
Brossez-vous les dents deux fois par jour, pendant deux minutes. Le soir, c’est impératif : la salive diminue la nuit, et les bactéries prolifèrent. Utilisez un dentifrice fluoré et une brosse à poils souples, en partant de la gencive vers la dent.
Attendez 30 minutes après un repas acide avant de vous brosser les dents. Contre-intuitif, mais essentiel : les acides ramollissent temporairement l’émail, et brosser trop tôt accentue l’usure.
Changez votre brosse à dents tous les 3 mois. Astuce mémo : à chaque changement de saison et aussi après une maladie infectieuse, même un simple rhume.
Limitez le grignotage et les boissons sucrées, privilégiez l’eau tout au long de la journée. La salive est votre meilleure alliée : bien s’hydrater, c’est protéger ses dents naturellement.
Consultez votre dentiste au moins une fois par an. Même sans douleur, même sans problème apparent. La prévention, c’est bien moins coûteux financièrement et physiquement que le soin.

Saviez-vous que le brossage ne nettoie qu’environ 60 % de la surface de vos dents ? Les 40 % restants, les espaces entre les dents sont laissés de côté.
C’est pourtant là que la plaque dentaire s’accumule le plus facilement, et que les caries et les maladies des gencives prennent naissance en silence.
La plaque dentaire est un biofilm bactérien. Lorsqu’il y a un déséquilibre de l’écosystème buccal, elle devient la principale cause des caries et des maladies parodontales. Ce déséquilibre correspond à un rapport perturbé entre la structure minérale des dents et les bactéries présentes dans la bouche. Ces bactéries vivent protégées dans le biofilm, ce qui les rend plus résistantes.
La bonne nouvelle ? Il existe aujourd’hui plusieurs outils simples et efficaces pour compléter votre brossage et éliminer cette plaque dentaire. Une fois par jour, idéalement le soir, l’un d’entre eux devrait faire partie de votre routine.
Idéal pour les espaces serrés, il retire les débris alimentaires et élimine la plaque entre les dents. À glisser doucement contre chaque dent, sans forcer, en utilisant une portion propre du fil à chaque espace.
→ À utiliser 1 fois par jour, le soirRecommandées lorsque les espaces sont plus larges, elles permettent un nettoyage en profondeur et sont particulièrement adaptées chez l’adulte. Choisissez la bonne taille avec l’aide de votre dentiste.
→ Ne pas forcer, changer régulièrementUn jet d’eau pulsé qui élimine les débris et masse les gencives. Particulièrement utile pour les appareils orthodontiques, les implants, les prothèses ou les gencives sensibles.
⚠️ Complément, pas un remplacement
Les habitudes d’hygiène bucco-dentaire se construisent très tôt parfois avant même que la première dent ne soit visible. C’est dans les premières années de vie que se forment les réflexes qui dureront toute la vie.
Le brossage commence dès la première dent de votre enfant, avec une brosse adaptée à l’âge et une quantité de dentifrice précise : une simple trace jusqu’à 3 ans, un petit pois jusqu’à 6 ans, et un tiers de la brosse pour les juniors. La quantité compte autant que la fréquence, car les enfants ont tendance à avaler le dentifrice. À noter aussi : un enfant ne maîtrise pas la coordination du brossage avant 6 ou 7 ans votre supervision est donc indispensable jusqu’à cet âge !
Le biberon sucré au coucher est à surveiller : le sucre reste en contact avec les dents toute la nuit, favorisant les caries précoces, qui peuvent provoquer douleurs et infections dès le plus jeune âge. La règle d’or ? Pas de boisson sucrée après le brossage du soir !
Enfin, les enfants imitent ce que font leurs parents, ils observent et reproduisent. Se brosser les dents ensemble, rendre le brossage ludique, montrer l’exemple : voilà les gestes qui ancrent une hygiène bucco-dentaire pour la vie !

La quantité de dentifrice, ça compte : une trace jusqu’à 3 ans, un petit pois jusqu’à 6 ans, un tiers de la brosse pour les plus grands. Et toujours un dentifrice fluoré adapté à l’âge.
Le programme M’T dents offre à tous les jeunes de 3 à 24 ans un rendez-vous de prévention dentaire annuel pris en charge à 100 % entre la CPAM et votre mutuelle. Pas d’avance de frais, pas d’excuse pour ne pas y aller.
Depuis le 1er avril 2025, ce dispositif bénéficie à près de 2 millions de jeunes. Au programme du rendez-vous : vérification des dents et des gencives, conseils personnalisés, et si nécessaire, prise en charge des soins dans les 6 mois qui suivent.

Comprendre son devis dentaire
🦷 Santé dentaire Entre les codes nomenclature, les paniers de soins et les colonnes de […] Lire la suite
Prothèses dentaires adjointes : tout comprendre sur les appareils amovibles
Contrairement aux prothèses conjointes fixées sur la dent, les prothèses adjointes sont des appareils amovibles qu’e vous […] Lire la suite
Prothèses dentaires conjointes : inlay, couronne, bridge et implant expliqués
Sur un devis dentaire, les actes de prothèse représentent souvent les postes les plus coûteux […] Lire la suite